
导读
假尿苷(Ψ)是哺乳动物细胞中含量丰富的RNA修饰之一,在多种RNA类型中发挥重要作用,包括mRNA、tRNA、snRNA和rRNA。它为RNA碱基提供额外的氢键供体,并能影响涉及RNA的一系列不同的生物过程。
pre-mRNA内含子区域或剪接体snRNA中的Ψ会影响剪接。在翻译中,Ψ对于维持rRNA的准确性至关重要,并通过Ψ衍生的tRNA片段化调节tRNA功能。
rRNA和tRNA中的Ψ水平与植物中的翻译活性相关。最近的研究还表明,mRNA上的Ψ可能在mRNA稳定性中发挥作用。
2025年10月30日,芝加哥大学何川团队在Nature Communications上发表了一篇题为“Pseudouridylation of 7SK by PUS7 regulates Pol II transcription elongation”的论文。该研究首次发现假尿苷合成酶PUS7能够直接修饰7SK RNA,并通过这一修饰精细地调控Pol II的转录延伸过程。

文章索引
【标题】Pseudouridylation of 7SK by PUS7 regulates Pol II transcription elongation
【发表期刊】Nature Communications
【发表日期】2025年10月30日
【作者及团队】芝加哥大学何川团队
【IF】15.7
研究结果
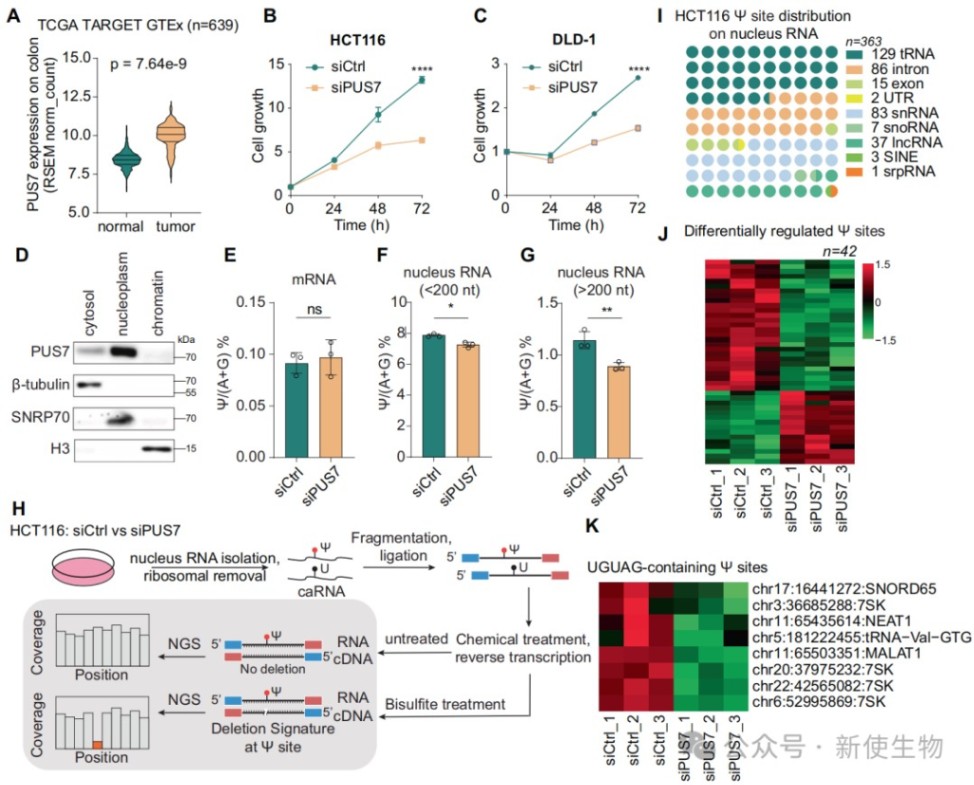
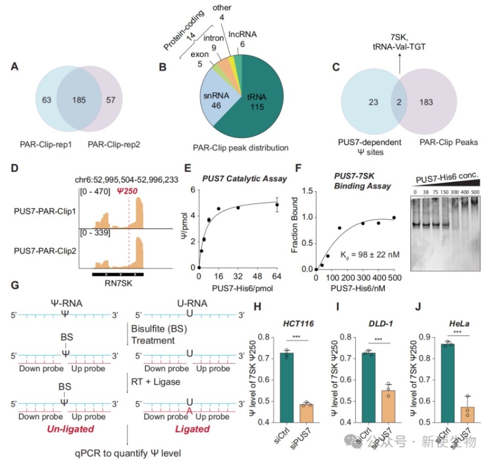
一、PUS7是7SK RNA上Ψ250位点的假尿苷合酶
通过对结直肠癌(CRC)细胞进行BID-seq和PAR-CLIP,作者发现假尿苷合酶PUS7能够结合7SK RNA,并特异性地催化其第250位尿苷(U)的假尿苷化(Ψ)。

此外,敲低PUS7会导致7SK上Ψ250的修饰水平显著降低。

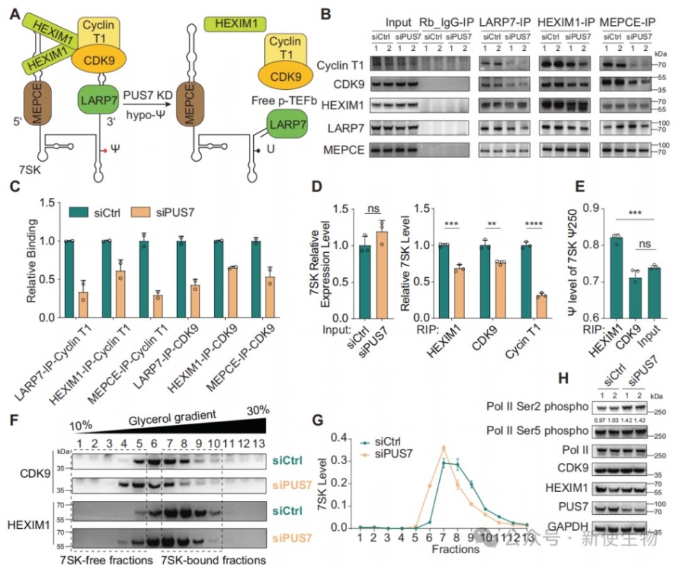
二、7SK的假尿苷化稳定了其与P-TEFb的结合
免疫共沉淀实验表明,当PUS7被敲低,导致7SK假尿苷水平下降时,P-TEFb的两个关键组分CDK9和Cyclin T1与7SK复合物的结合显著减弱。
甘油密度梯度离心实验也证实,在PUS7敲低的细胞中,CDK9和HEXIM1(P-TEFb的抑制蛋白)从大的7SK复合物中解离出来。


三、7SK假尿苷水平的降低促进了转录延伸
实验证实,敲低PUS7或直接敲低7SK RNA,都会导致Pol II的Ser2磷酸化水平显著升高。
通过KAS-seq和Pol II-ChIP-qPCR,作者进一步证明,PUS7或7SK的缺失显著增强了Pol II在基因体区域的延伸活性。

四、PUS7/7SK通路通过调控KLF6/DDIT3影响细胞凋亡和化疗敏感性
转录组分析显示,敲低PUS7或7SK的细胞在基因表达谱上高度相似,且都显著上调了与凋亡相关的基因。

进一步研究发现,这种效应是通过上调肿瘤抑制因子KLF6及其下游的凋亡促进因子DDIT3来实现的。
在CRC细胞中,敲低PUS7或7SK能够诱导细胞凋亡,并显著提高细胞对化疗药物5-氟尿嘧啶(5-FU)的敏感性。

五、靶向编辑7SK的假尿苷水平可调控细胞对化疗的敏感性
为了证明7SK的假尿苷修饰是关键的调控节点,作者利用dCas13b-PUS7系统,将PUS7酶特异性地引导到7SK RNA上。
结果显示,这种靶向编辑能够提高7SK上的假尿苷水平,下调KLF6和DDIT3的表达,并使CRC细胞对5-FU产生更强的耐药性。
这有力地证明了7SK的假尿苷化状态直接调控着细胞的化疗敏感性。


总结
本研究揭示了一条全新的基因转录调控通路:PUS7 → 7SK假尿苷化→ P-TEFb活性 → Pol II转录延伸。研究表明,RNA假尿苷修饰不仅参与翻译和剪接,还能通过调控7SK这一关键的转录调节因子,直接影响转录延伸的效率。在结直肠癌中,这一通路通过下游的KLF6/DDIT3轴来调控细胞凋亡和化疗敏感性。这些发现不仅拓展了研究者们对表观转录组学功能的认知,也为癌症治疗提供了潜在的新靶点和策略。
| 新使生物专业翻译组一站式服务平台 |
| 产品名称 |
我们能够针对微量细胞或组织,如卵母细胞、卵巢、临床穿刺样品等产出高质量翻译组数据结果。
超高的准确性为研究非经典的开放阅读框(ORFs)提供极大便利,提高微肽(肿瘤新生抗原)的挖掘效率。
另外新使生物提供多物种多聚核糖体分析(Polysome profiling),了解更多翻译组技术信息可登录 www.neoribo.com。
点击图片查看
点击图片查看

关于我们
产品中心
技术服务
技术中心
联系我们
