
导读
肿瘤细胞通过复杂的代谢重编程来维持生长所需的能量和氧化还原平衡。葡萄糖与谷氨酰胺作为核心营养素,为癌细胞提供生物合成的碳源与氮源。
在营养匮乏的肿瘤微环境中,癌细胞必须依赖特定的生存程序,如利用天冬酰胺代谢来缓解营养压力。内质网应激触发的未折叠蛋白反应通过PERK通路诱导ATF4表达,从而协调代谢调整。
然而,关于营养信号如何精准调控ATF4的稳定性以及m⁶A去甲基化酶ALKBH5如何实现靶点特异性,领域内仍存在显著的研究空白。阐明这些分子机制对于理解肿瘤代谢适应并开发新的靶向治疗策略至关重要。
2026年3月6日,中山大学黎孟枫和蔡俊超团队合作,在Nature Cell Biology上发表了题为“The lncRNA DAMER selectively guides m⁶A-dependent regulation of ATF4 and asparagine metabolism under nutrient stress in cancer”的论文。该研究发现长链非编码RNA DAMER在营养应激下被诱导表达,通过作为分子支架引导去甲基化酶ALKBH5特异性识别并稳定ATF4 mRNA,从而重塑天冬酰胺代谢以促进肿瘤细胞存活。

文章索引
【标题】 The lncRNA DAMER selectively guides m⁶A-dependent regulation of ATF4 and asparagine metabolism under nutrient stress in cancer
【发表期刊】 Nature Cell Biology
【发表日期】 2026年3月6日
【作者及团队】 中山大学黎孟枫和蔡俊超团队
【IF】 19.1
研究结果
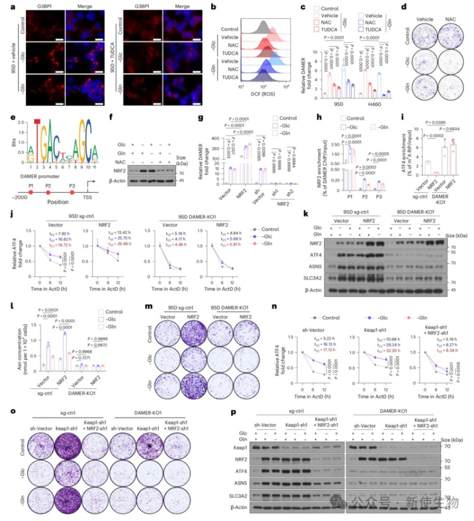
一、营养匮乏触发ALKBH5介导的ATF4去甲基化及其稳定化
研究人员通过代谢分析和生化实验发现,肺癌细胞在缺失葡萄糖或谷氨酰胺时会显著提高ATF4及其下游天冬酰胺代谢基因的表达。
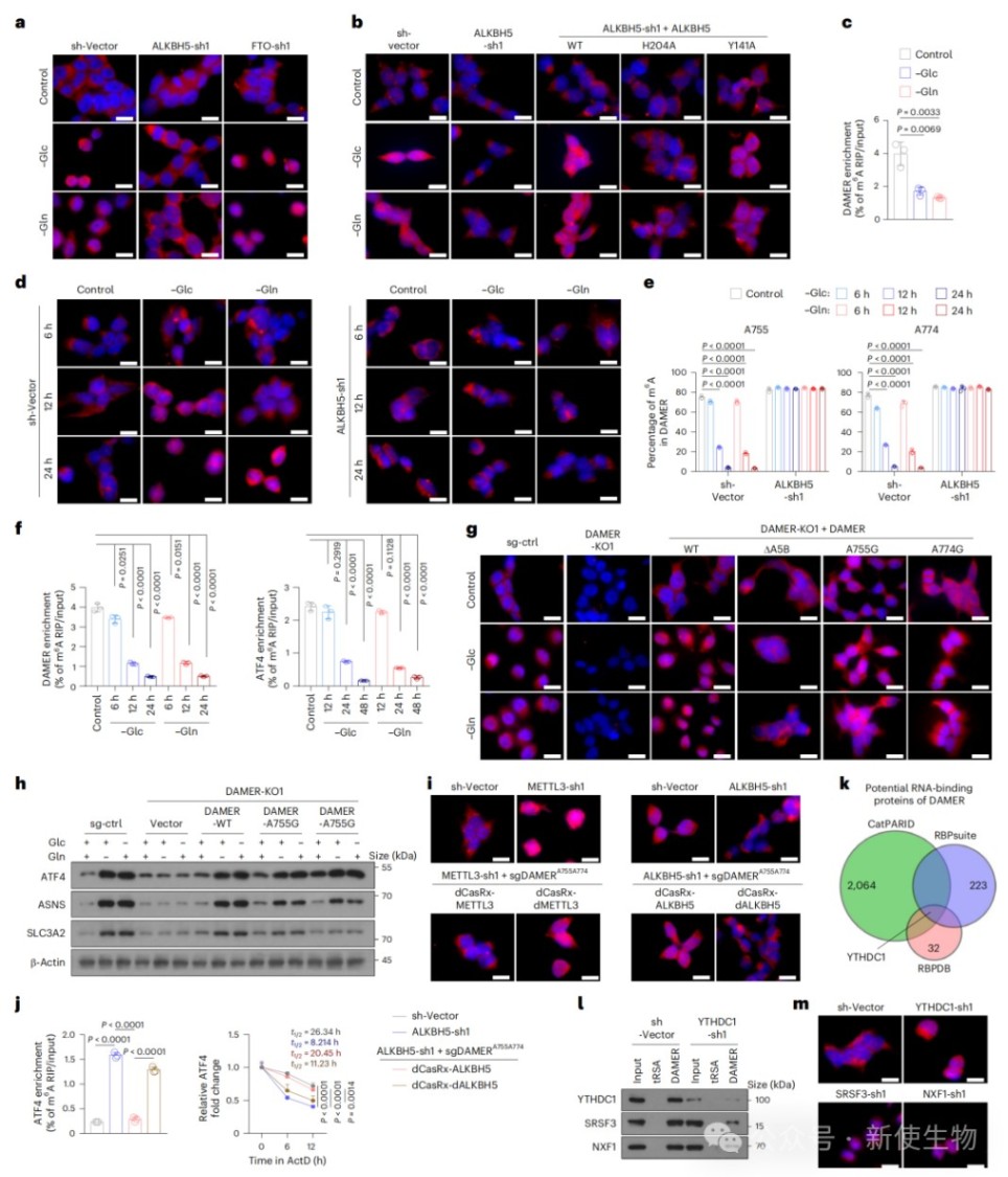
通过RIP及RNA半衰期实验,证实这一过程不依赖于经典的GCN2-eIF2α通路,而是通过ALKBH5介导的m⁶A去甲基化增强了ATF4 mRNA的稳定性。

二、lncRNADAMER作为ALKBH5识别ATF4的特异性引导因子
通过筛选与ALKBH5相互作用的lncRNA,鉴定出受营养应激诱导表达的DAMER。
敲除DAMER会阻断ALKBH5对ATF4的选择性去甲基化,从而抑制肿瘤在营养匮乏环境下的生长与代谢适应。

三、DAMER通过碱基配对实现对ATF4 mRNA的选择性导航
利用AlphaFold3模拟及SHAPE-MaP结构分析技术,研究人员证明DAMER作为一个支架,一端结合ALKBH5,另一端通过特定序列与ATF4的5' UTR进行碱基配对。
突变实验证实,这种双向结合能力对于ALKBH5精准定位并修饰ATF4 mRNA至关重要。

四、ROS-NRF2信号通路驱动DAMER的转录激活
研究揭示营养匮乏引发的氧化应激产生ROS,进而激活转录因子NRF2。
NRF2直接结合在DAMER启动子区并诱导其转录,建立了从环境压力感应到DAMER介导的表观转录组重塑的信号链路。

五、ALKBH5介导的反馈回路调节DAMER的核定位
研究发现DAMER本身的定位受m⁶A修饰调控,在正常条件下,被甲基化的DAMER通过YTHDC1复合物从核内运出。
而在应激状态下,ALKBH5对DAMER进行去甲基化,促使其留在核内发挥引导功能,形成了一个自我强化的调控循环。

六、DAMER-ALKBH5-ATF4轴在肿瘤适应中的核心地位
通过上位性实验和体内异种移植模型,研究者证实了该轴线的层次性,即DAMER引导ALKBH5去甲基化ATF4 mRNA是其核心逻辑。
通过靶向修饰ATF4特定位点或利用组成型突变体,进一步证实了该通路对肿瘤在低养分环境下生存的必要性。

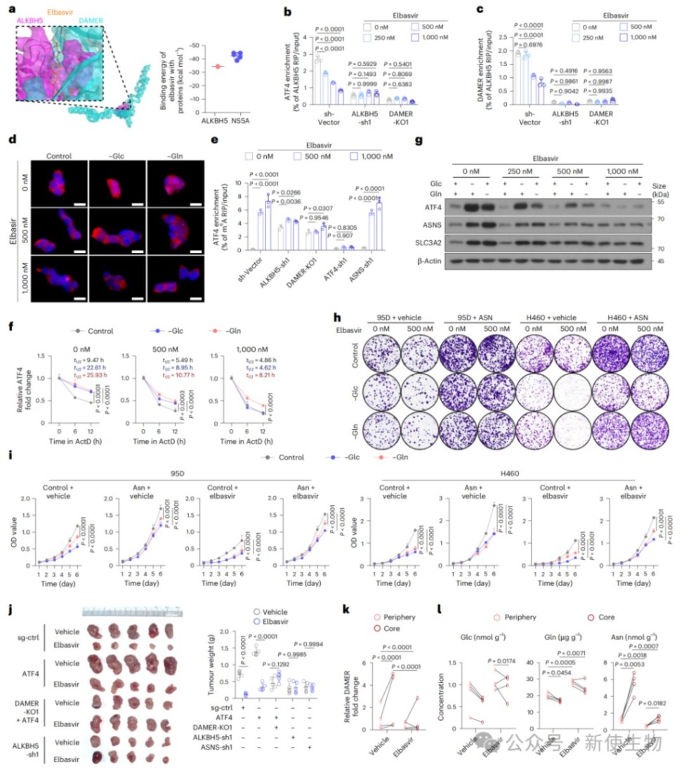
七、药物艾尔巴韦通过干扰DAMER-ALKBH5相互作用抑制肿瘤
通过结构对接筛选,鉴定出FDA批准药物艾尔巴韦能特异性阻断ALKBH5与DAMER的结合。
在临床前模型中,该药物显著抑制了肿瘤的天冬酰胺依赖性生存,展现出良好的抗肿瘤效果且无明显毒性。

八、该代谢轴在肺癌患者中的临床预后价值
通过分析肺癌患者组织标本及TCGA数据库,证实DAMER、ATF4及天冬酰胺代谢相关基因在高侵袭性肿瘤中高表达且与不良预后密切相关。
最后,作者利用患者来源的类器官(PDO)进一步验证了该机制在人体组织中的保守性和临床相关性。

总结
本研究阐明了在营养应激下,由lncRNA DAMER引导ALKBH5对ATF4 mRNA进行特异性去甲基化,从而重塑天冬酰胺代谢以支持癌细胞存活的机制。通过揭示这一表观转录组导航模型,研究不仅解决了酶作用特异性的科学难题,还发现老药Elbasvir可作为靶向此适应性程序的潜在药物。
| 新使生物专业翻译组一站式服务平台 |
| 产品名称 |
点击图片查看
点击图片查看

关于我们
产品中心
技术服务
技术中心
联系我们
