
导读
蛋白质通常以多亚基复合物的形式行使其多样的生物学功能,这种模块化设计有利于细胞功能的演化。然而,在拥挤的细胞环境中维持精确的蛋白质相互作用极具挑战性,因此细胞演化出了复杂的复合物组装途径。
其中,共翻译组装是一种重要的机制,即蛋白质亚基在核糖体上合成的过程中就开始相互结合并组装。N6-甲基腺苷(m⁶A)是真核生物中最普遍的RNA修饰之一,由m⁶A甲基转移酶复合物(MTC)催化完成。
MTC的核心由催化亚基METTL3和支架亚基METTL14组成。尽管其结构和功能已被广泛研究,但该复合物在活细胞内如何精确组装的分子机制仍不清楚。
2026年1月2日,中国药科大学刘晓敏和周君团队在PNAS上发表了一篇题为“Cotranslational assembly directs the biogenesis of the m⁶A methyltransferase complex”的研究论文。该研究发现m⁶A甲基转移酶复合物(MTC)的核心亚基METTL3与METTL14通过共翻译组装途径形成异源二聚体,并鉴定出分子伴侣CCT4是该过程的关键促进因子。


文章索引
【标题】Cotranslational assembly directs the biogenesis of the m⁶A methyltransferase complex
【发表期刊】PNAS
【发表日期】2026年1月2日
【作者及团队】中国药科大学刘晓敏和周君团队
【IF】9.1
研究结果
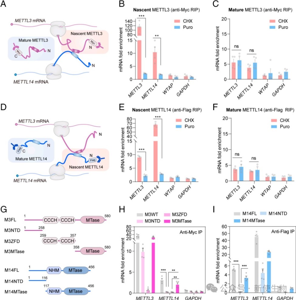
一、METTL3在翻译过程中与METTL14相互作用
研究人员发现METTL3和METTL14的蛋白质水平相互依赖,敲低其中一个会导致另一个蛋白水平下降,但这并非由蛋白酶体或溶酶体降解途径介导。
通过对Polysome profiling多聚核糖体分析所得的组分进行RNA免疫沉淀(RIP),实验证明新生METTL3肽链能特异性富集METTL14 mRNA,反之亦然,且这种互作依赖于翻译的持续进行。

二、METTL3和METTL14在细胞质中发生共定位
通过免疫荧光(IF)与单分子荧光原位杂交(smiFISH)联用技术,研究者在细胞质中观察到内源性METTL3蛋白与METTL14 mRNA存在明显的共定位现象。
同样地,METTL14蛋白也与METTL3 mRNA共定位,并且这些共定位信号均对翻译抑制剂嘌呤霉素敏感,证实了两者在翻译水平上的时空邻近性。

三、MTC通过共组装途径形成
研究利用N端和C端标签分别捕获新生和成熟蛋白,发现只有新生METTL3和新生METTL14能以翻译依赖的方式相互富集对方的mRNA,表明MTC遵循共组装(Co-Co Assembly)模型。
通过结构域截短实验,进一步确定了METTL3和METTL14的甲基转移酶结构域(MTD)是介导共翻译组装的关键互作界面。

四、分子伴侣CCT4促进MTC的共翻译组装
为寻找辅助因子,研究采用了分裂APEX2邻近标记技术,并鉴定出分子伴侣CCT复合物与新生MTC相互作用。
进一步实验表明,敲低CCT复合物的关键亚基CCT4会显著降低METTL3和METTL14的蛋白水平,并削弱它们之间的共翻译组装效率。

五、干扰肽M14P1可靶向MTC组装并抑制白血病细胞增殖
基于MTC的互作界面,研究设计了一种可穿膜的干扰肽M14P1,它能有效破坏METTL3与METTL14的共翻译组装过程。
在急性髓系白血病(AML)细胞中,M14P1处理显著降低了m⁶A修饰水平,抑制了细胞增殖并诱导了细胞凋亡,展现出潜在的抗白血病活性。

总结
综上所述,该研究系统地揭示了m⁶A甲基转移酶复合物通过一种由分子伴侣CCT4辅助的共翻译组装机制进行生物合成。该发现不仅深化了对RNA修饰调控的理解,还通过设计靶向该过程的干扰肽,为治疗相关疾病(如AML)提供了新的理论基础和候选药物。
| 新使生物专业翻译组一站式服务平台 |
| 产品名称 |
我们能够针对微量细胞或组织,如卵母细胞、卵巢、临床穿刺样品等产出高质量翻译组数据结果。
超高的准确性为研究非经典的开放阅读框(ORFs)提供极大便利,提高微肽(肿瘤新生抗原)的挖掘效率。
另外新使生物提供多物种多聚核糖体分析(Polysome profiling),了解更多翻译组技术信息可登录 www.neoribo.com。
点击图片查看
点击图片查看

关于我们
产品中心
技术服务
技术中心
联系我们
